В Актау хирурги детской областной больницы извлекли из желудка 12-летней девочки-инвалида клок волос, ручку, скотч и кусок железа, передает Tengrinews.kz со ссылкой на Управление здравоохранения Мангистауской области.
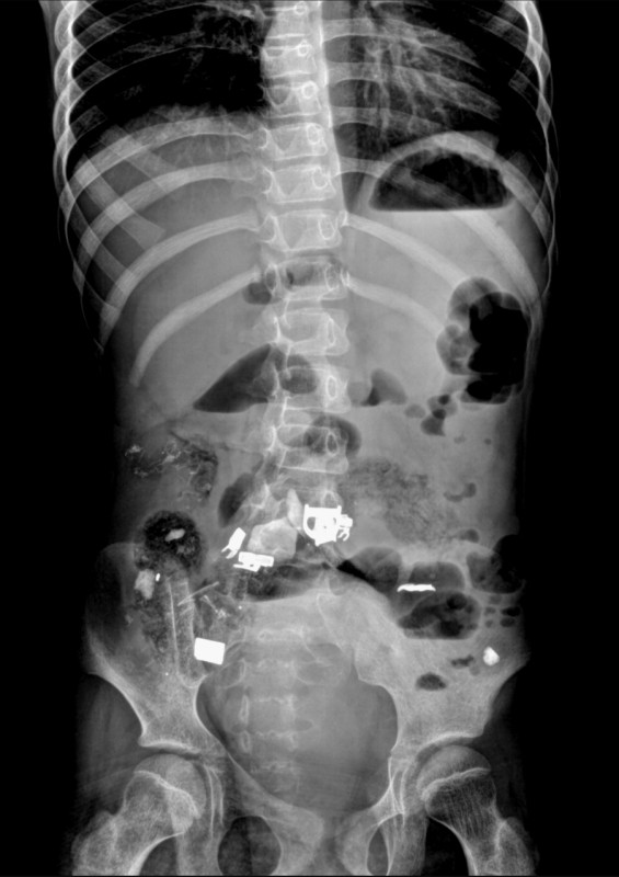
Ребенка, который страдает ДЦП и задержкой психического развития, экстренно госпитализировали с жалобами на боли в животе и рвоту. Врачи провели всестороннее обследование организма, рентген показал инородные предметы в брюшной полости. Инцидент произошел в феврале, но известно о нем стало только сейчас.

"Благодаря оперативному вмешательству врачей, в ходе операции в кишечнике девочки благополучно обнаружены и вытащены инородные тела - железо, ручка, скотч, волосы", - сообщили в пресс-службе областного управления здравоохранения.
Осложнений в послеоперационном периоде не было. Ребенок в удовлетворительном состоянии.
Советы врача: Что делать, если человек подавился
Еще быстрее, чем на сайте! Читайте наши новости в Telegram. Подписывайтесь на @tengrinews.